
Factores clave al comprar gafas de sol al por mayor
Redacción Grupo La Provincia
D-Interés25 de marzo de 2026
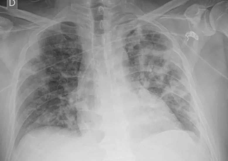
Distintas empresas con base en Argentina desarrollaron soluciones gratuitas para colaborar en diferentes aspectos que hacen a la mitigación de la expansión del coronavirus en el país. Nueva herramienta de detección de Covid-19 en radiografías de Tórax! Mauricio Farez explica en Diario Perfil los alcances y limitaciones de la herramienta en https://t.co/DtpKlDCZVk #COVIDー19
— entel_ai (@entel_ai) April 1, 2020










